#bệnh viện Đa khoa Xuyên Á

Bệnh viện Xuyên Á cứu sống nữ bệnh nhân bị cướp đâm thấu tim
17:17 13/12/2018

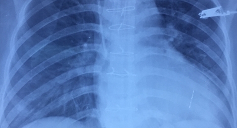
Ngày 10-12, Khoa Phẫu thuật Tim Mạch – Lồng ngực Bệnh viện Đa khoa Xuyên Á (BVXA) tiếp nhận bệnh nhân nữ tên: N.T.A. (35 tuổi, Huyện Đức Hòa, Tỉnh Long An) bị cướp tấn công gây một vết thương đâm thấu ngực, gây thủng tim, thủng cơ hoành, thủng gan và mạch máu trên gan đe dọa tính mạng trong gang tấc.

Hóc xương cá đúng lúc quả bóng  "vàng" của U23 Việt Nam sút tung lưới U23 Syria
17:29 29/08/2018

Ngày 28-8-2018, Trung tâm Nội Soi Bệnh  viện (BV) Đa khoa Xuyên Á – Vĩnh Long (BVXA – VL) cho biết, họ vừa xử trí thành công nội soi cấp cứu cho bệnh nhân T. (46 tuổi, ngụ tại huyện Cái Bè, tỉnh Tiền Giang) bị hóc mảnh xương cá Chẽm đúng vào phút giây quá mừng rỡ khi chứng kiến bàn thắng của U23 Việt Nam sút tung lưới U23 Syria.

Con đau mỏi chân, tới viện phát hiện hoại tử chỏm xương đùi
17:16 05/02/2018
Chiều 5-2, Bệnh viện Đa khoa Xuyên Á (BVXA) cho biết họ vừa phẫu thuật thành công một ca bị "hoại tử chỏm xương đùi vô trùng" cho bé T.T. (8 tuổi, ngụ tại huyện Cư M'gar, tỉnh Đăk Lăk). Đáng nói, đây là một căn bệnh nguy hiểm và rất dễ bị nhầm lẫn với các bệnh viêm khớp, đau nhức thông thường.
Ca mổ tối khẩn cấp đưa thai nhi thoát khỏi tình trạng sa dây rốn
22:10 31/01/2018

Chiều 31-1, Bệnh viện Đa khoa Xuyên Á cho hay, các bác sĩ tại đây vừa mổ bắt con cho Sản phụ B.T.K. (30 tuổi, ngụ tại Huyện Trảng Bàng, Tỉnh Tây Ninh) trong tình trạng vỡ ối, thai nhi có dấu hiệu suy thai cấp do sa dây rốn. Ê kíp trực đã nhấn nút báo động đỏ nội viện, đưa bệnh nhân lên ngay lên phòng mổ cấp cứu khẩn cấp theo quy trình chỉ trong vòng 12 phút.

Cứu sống bệnh nhân bị đột quỵ
08:23 17/01/2018
Vừa xong ca trực đêm, ông C.X. (42 tuổi), làm bảo vệ cho một công ty tại địa bàn huyện Củ Chi đột ngột choáng, ngã quỵ do lên cơn nhồi máu cơ tim cấp. Sau khi chuyển bệnh nhân đến Bệnh viện Đa khoa Xuyên Á (BVXA), ông C.X. đã được cứu sống nhờ được can thiệp mạch máu kịp thời dù không có người thân bên cạnh.
Nam thanh niên suýt mất mạng vì chủ quan sau khi ngã xe
11:35 05/01/2018

Ngày 5-2018,  Khoa Phẫu thuật Tim Mạch và Lồng Ngực tại Bệnh viện đa khoa Xuyên Á (BVXA) cho biết, đã phẫu thuật tái lập lưu thông động mạch chân trái thành công cứu sống nam bệnh nhân tên: V.T. (25 tuổi, quê Quảng Ngãi).

92 công nhân đồng loạt cấp cứu, nghi ngộ độc thực phẩm
14:25 29/12/2017
Bác sĩ Nguyễn Kim Long, Giám đốc kinh doanh Bệnh viện Đa khoa Xuyên Á (BVXA) cho biết, đã huy động tới 25 bác sĩ (BS) và 65 Điều dưỡng để cấp cứu cho 92 bệnh nhân là số công nhân của Công ty TNHH Estilo 2 Vina (Khu công nghiệp Tân Phú Trung, Củ Chi, TPHCM).
6 giờ giành giật sự sống cho mẹ con sản phụ
15:54 22/10/2017
Nhập viện với bệnh lý "nhau tiền đạo trung tâm" trên nền vết mổ sinh cũ lần thứ 2, đang mang thai trong bụng đã sang tuần thứ 38, tình trạng của sản phụ N.L. (42 tuổi, ngụ tại Quận Gò Vấp, TP.Hồ Chí Minh) là vô cùng nguy hiểm.
Suýt đột tử vì tự ý dùng thuốc trị đau ngực
14:04 15/09/2017

Bị tắc cả hai nhánh động mạch liên thất trước và nhánh động mạch vành trái lớn, tình trạng cụ bà N.T.T.( 60 tuổi, ngụ tại Huyện Thạnh Phú, Bến Tre) có nguy cơ tử vong rất cao nhưng rất may đã được các bác sĩ Bệnh viện Đa Khoa Xuyên Á can thiệp mạch máu kịp thời. 

Hai bệnh viện hội chẩn cứu sống bệnh nhân nguy kịch
17:12 03/05/2017
Chiều 3-5, Bệnh viện Đa khoa Xuyên Á (BVXA) TP Hồ Chí Minh cho biết, nhờ có sự phối hợp qua lại giữa BVXA và BV Hóc Môn mà đã cứu sống thành công trường hợp bệnh nhân tên L.V.D. bị nhồi máu cơ tim cấp, có nguy cơ tử vong rất cao.
Phẫu thuật tạo hình bàng quang bằng ruột non cho một bệnh nhân
21:22 10/03/2017

Thông tin do các bác sĩ Ngoại Tiết Niệu Bệnh viện Đa khoa Xuyên Á (BVXA) TP Hồ Chí Minh cho biết vào chiều 10-3. Tại đây, các BS đã phẫu thuật nội soi tạo hình bàng quang bằng ruột non cho 1 bệnh nhân bị u bàng quang xâm lấn. Đây là một ca phẫu thuật khó, từ trước đến nay chỉ được thực hiện tại vài BV lớn có chuyên khoa tiết niệu.

Phẫu thuật lấy khối u "khủng" trong não một nữ bệnh nhân
17:36 08/03/2017

Thông tin ngày 8-3 từ Bệnh viện Đa Khoa Xuyên Á (BVXA) TP Hồ Chí Minh cho biết, các bác sĩ tại đây vừa phẫu thuật thành công cho một nữ bệnh nhân với việc bóc tách thành công khối u não có đường kính rất lớn, tới 5 cm, to như trái bóng tennis.