Cụ bà bị đau bụng, nhập viện phát hiện nhồi máu cơ tim
Thông tin được biết vào chiều 19-8, từ Bệnh viện Đa khoa Xuyên Á (BVXA) -TP. HCM. Cụ bà L.H.T. (77 tuổi, ngụ tại Củ Chi) nhập viện với triệu chứng đau bụng, tụt huyết áp; người nhà khi đưa vào BVXA với ý nghĩ cho rằng cụ chỉ bị bệnh tiêu hoá! Song, qua các xét nghiệm các bác sĩ đã tìm ra bệnh nhồi máu cơ tim cấp, cứu sống kịp thời bệnh nhân.
- Cứu sống cụ bà 71 tuổi người Campuchia bị gẫy cổ xương đùi/ Đà Nẵng: Cứu sống cụ bà 70 tuổi bị vỡ động mạch chủ hiếm gặp
Đêm ngày 18-8, khi cụ bà L.H.T được người nhà đưa vào BVXA với triệu chứng: au bụng, ói mửa, chân tay lạnh, tụt huyết áp. Người nhà cho hay, triệu chứng bệnh kéo dài từ trưa cùng ngày, tới chiều tối, tình trạng đau bụng nôn mửa, mệt mỏi của bà T. càng lúc càng nặng. Tới khuya thì cụ bà đã đau bụng dữ dội, ói nhiều, mệt lả người. Gia đình hốt hoảng đưa đến BVXA để cấp cứu.
|
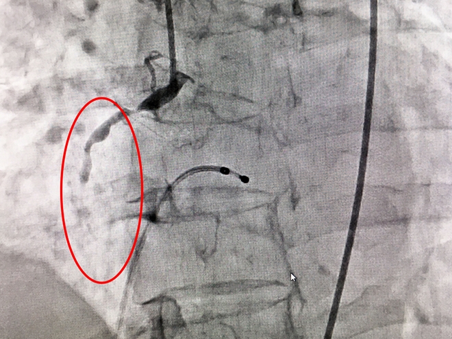
Hình ảnh bệnh nhân bị hẹp nặng mạch vành bên trái và tắc hoàn toàn động mạch vành bên phải tại vị trí xuất phát. |
Tại Khoa Cấp Cứu, kết quả điện tim với dấu hiệu bất thường đã được các bác sĩ chú ý ngay.
Khoa Cấp cứu đã mời các bác sĩ Khoa Can Thiệp Tim Mạch nhanh chóng hội chẩn và xác định bệnh nhân bị "nhồi máu cơ tim vùng sau dưới", có biến chứng rối loạn nhịp chậm và block nhĩ thất.
Bệnh nhân đã được chụp mạch vành, can thiệp cấp cứu với sự hỗ trợ của hệ thống máy chụp mạch máu kỹ thuật số xóa nền (DSA). Tại đây, bệnh nhân cũng được đặt máy tạo nhịp tạm thời qua đường tĩnh mạch nhằm giúp cho nhịp tim được ổn định và nhằm nâng huyết áp.
Trong quá trình can thiệp, hình ảnh chụp cận mạch vành cho thấy, bệnh nhân bị hẹp nặng mạch vành bên trái và tắc hoàn toàn động mạch vành bên phải tại vị trí xuất phát. Ê kip các bác sĩ đã nhanh chóng tiến hành nong động mạch vành và mở thông động mạch vành ở vị trí tắc, khôi phục dòng chảy bình thường.
|
Sau can thiệp, mạch vành phải đã hoạt động bình thường trở lại. |
| Ca can thiệp tim mạch cho bệnh nhân tại Khoa Can Thiệp Tim Mạch-BVXA TP.HCM. |
Ngay sau can thiệp, điện tim đã cải thiện, nhịp tim bệnh nhân trở về nhịp xoang bình thường và huyết áp ổn định. Chiều 19-8, bệnh nhân đã hoàn toàn ổn định.
|
BS khuyến cáo Qua trường hợp trên, các bác sĩ khuyến cáo, ở những gia đình đang chăm sóc người già, người bệnh lớn tuổi và đặc biệt là kèm theo bệnh lý tim mạch khi có những biểu hiện đau bụng thì phải hết sức cảnh giác. Nên đến khám tại các bệnh viện lớn có đầy đủ chuyên khoa và trang thiết bị hiện đại, nhằm phát hiện và can thiệp kịp thời nhồi máu cơ tim nếu có. Những bệnh cảnh như trường hợp cụ bà L.H.T trên đây được coi là một trong những dấu hiệu điển hình của "nhồi máu cơ tim vùng sau dưới", có thể gây ra biến chứng sốc tim, rối loạn nhịp chậm mà nhiều người chủ quan là bệnh lý đường tiêu hóa. Việc xử lý can thiệp, điều trị chậm trễ có thể để lại nhiều hậu quả nặng nề, thậm chí là người bệnh tử vong. |
