#Trần Chương Sỹ Cường

Cứu sống bé trai bị kim đâm thủng phổi
23:19 03/05/2015
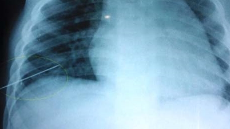
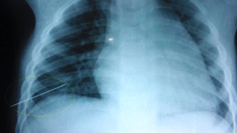
Ngày 3/5, các bác sỹ Bệnh viện Hữu nghị Việt Nam - Cuba Đồng Hới, Quảng Bình cho biết, sức khỏe của cháu Trần Chương Sỹ Cường (3 tuổi), trú xã Hoàn Trạch, huyện Bố Trạch, tỉnh Quảng Bình, đã bình phục tốt.
Mẹ rơi kim, con bị đâm thủng phổi
15:51 03/05/2015
Mẹ cháu bé dùng kim may quần áo và đánh rơi kim xuống giường ngủ, và không may chiếc kim dài 5cm này đã đâm thấu ngực cháu trong lúc nằm ngủ.