Coi chừng “răng đi đằng răng, lợi đi đằng lợi” khi sử dụng miếng dán trắng răng
Vì thế nó đã thu hút được khá nhiều người vốn có hàm răng chưa được trắng như mong muốn. Tuy nhiên, theo tìm hiểu của chúng tôi, một số người sử dụng hầu như không hề hiểu rõ tác hại của những "miếng dán trắng răng" này, nhất là những loại mập mờ nguồn gốc xuất xứ…
Trắng răng thần tốc
Theo bác sĩ Nguyễn Hữu Khanh, nguyên Trưởng khoa Răng Hàm Mặt Bệnh viện An Bình, TP HCM, hàm răng con người chia thành 4 nhóm, gồm nhóm răng cửa, nhóm răng nanh đơn, nhóm răng nanh đôi và nhóm răng hàm. Nhưng dù là nhóm nào chăng nữa thì cấu tạo của nó vẫn theo thứ tự: Men răng (là lớp ngoài cùng, sáng bóng, rất cứng), ngà răng (nằm dưới lớp men, có màu hơi vàng, độ cứng thấp hơn men răng, phía trong chứa nhiều những ống nhỏ có các đầu nút dây thần kinh).
![]() |
| Miếng dán trắng răng được cho là trắng ngay tức thì. |
Kế đến là xương răng (phủ kín lên tận cổ răng) và tủy răng. BS Khanh nói: "Men răng cấu tạo từ chất hydroxyapatite, bao gồm ion canxi và phosphate. Có nhiều nguyên nhân dẫn đến men răng đổi màu, chẳng hạn như lúc bé uống nhiều kháng sinh Tetracycline, vệ sinh răng miệng kém, nước uống có quá nhiều chất fluor, nghiện thuốc lá, thuốc lào. Cũng có trường hợp men răng đổi màu do thường xuyên ăn uống thức ăn quá nóng…".
Với những người có lớp men răng xỉn màu hoặc ố, họ thường mong muốn lấy lại sự trắng bóng. Vì vậy, ngày càng xuất hiện nhiều công nghệ làm đẹp cho hàm răng và miếng dán trắng răng là một trong số đó. Hiện tại, trên thị trường có khá nhiều miếng dán trắng răng, sản xuất bởi một số quốc gia như Mỹ, Pháp, Nhật, Hàn Quốc, Trung Quốc…, và cũng chẳng thiếu những miếng dán "hồn Trương Ba da hàng thịt".
Thành phần chính của miếng dán trắng răng là hydrogen peroxide hoặc carbamide peroxide. BS Khanh nói: "Cả hai chất này tác động lên men răng theo cơ chế oxy hóa các phân tử làm ố răng. Tùy vào trình trạng màu sắc hàm răng của từng người và nguyên nhân gây ra, liệu trình làm trắng răng bằng miếng dán kéo dài từ 3 đến 14 ngày, mỗi lần dán từ 30 đến 60 phút.
Tuy nhiên, nên lưu ý rằng miếng dán chỉ có khả năng làm trắng bề mặt của răng nhưng trắng không đều, còn các mảng ố ở kẽ răng hoặc răng có cao răng thì nó vô tác dụng. Soi răng của một số người sau khi tẩy trắng bằng miếng dán trên các thiết bị chuyên dùng, tôi nhận thấy sự thay đổi màu sắc chỉ diễn ra ở lớp bề mặt rất mỏng bên ngoài cùng của men răng. Như vậy, cái "trắng" này chỉ mang tính giai đoạn chứ không phải là trắng vĩnh viễn".
Vẫn theo BS Khanh, phần lớn miếng dán trắng răng được người bán quảng cáo theo hướng thổi phồng tính năng nhưng lại không hề nhắc đến tác dụng phụ. Có những loại được khẳng định là "sẽ trắng hoàn toàn chỉ sau 3 ngày dùng". BS Khanh nói: "Trắng càng nhanh thì hàm lượng các chất hydrogen peroxide hoặc carbamide peroxide càng cao. Nếu dán không đúng vị trí thì môi sưng, lợi viêm, miệng ê buốt là điều hoàn toàn có thể xảy đến".
Câu nói của BS Khanh khiến tôi nhớ lại một trường hợp, đó là chiều chủ nhật ngày 7-5, khi đến dự đám cưới con trai của anh bạn thân ở nhà hàng Aurora, tôi thấy một thiếu nữ ngồi cùng bàn với tôi luôn dùng một cái khăn giấy che ngang miệng. Tưởng đó là cách… làm duyên nên tôi không để ý. Tới chừng đôi tân lang giai nhân cùng cha mẹ hai bên đến để thực hiện nghi thức "chào bàn", trong một phút vô tình, cô bỏ cái khăn giấy xuống, cầm ly bia lên, tôi mới thấy đôi môi cô có vẻ như sưng lên mặc dù cô đã tô son rất khéo léo nhằm thu hẹp nó lại.
Hỏi ra mới biết ngay trước hôm đi dự đám cưới, để có được hàm răng trắng sáng, cô đã mua miếng dán trắng răng về sử dụng. Trắng đâu chưa thấy, chỉ thấy từ đầu đến cuối buổi tiệc cô không động vào bất kỳ món ăn thức uống nào vì cứ ăn vào, uống vào là ê buốt cả hàm. Cô nói với tôi: "Giờ cháu mới biết mình dại khi nhắm mắt tin vào quảng cáo tẩy trắng siêu tốc".
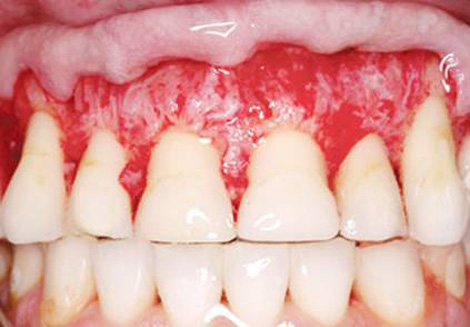
![]() |
| Viêm nướu, tụt lợi do sử dụng miếng dán trắng răng dài ngày, không bảo đảm chất lượng. |
Trong quá trình tìm hiểu, tôi ghé vào một tiệm thuốc Tây trên đường Cách mạng Tháng 8, quận 3 TP HCM, cô nhân viên đeo bảng tên là Hà cho biết giá của miếng dán trắng răng tùy theo từng hãng sản xuất. Có loại mỗi vỉ gồm 7 miếng là 200.000 đồng nhưng cũng có loại vỉ chứa 14 miếng, giá lên đến 1.500.000 đồng, kèm theo lời khẳng định "dán hết một vỉ là trắng ngay lập tức".
Bên cạnh đó, cô còn quảng cáo những sản phẩm kèm theo, chẳng hạn như như kem tẩy trắng răng cùng loại để duy trì độ trắng sáng lâu hơn, kẹo cao su có tính năng loại bỏ mảng ố trên răng ngay tức thì… Tôi hỏi nếu chỉ dùng miếng dán mà không dùng kem tẩy trắng hoặc kẹo cao su thì thời gian giữ trắng được bao lâu? Ngập ngừng một lát, cô đáp: "Chắc là cũng lâu nếu hàng ngày chú siêng năng đánh răng cẩn thận (?!)".
Trên mạng internet thì đa dạng hơn. Một facebooker có nickname là Thiensu quảng cáo: "20 nghìn một miếng. Hàng Pháp xách tay, chỉ cần dán 14 miếng trong 14 ngày là răng anh chị sẽ trắng như sữa". Liên hệ với người này thì được biết nếu mua, phải chuyển khoản trước nửa tiền và phải mua 1 hộp 14 miếng chứ không bán lẻ, số còn lại khi nhận hàng sẽ thanh toán hết.
Dược sĩ Gia, chủ một tiệm thuốc Tây trên đường Hai Bà Trưng, quận 1 TP HCM khẳng định: "Nếu đúng là miếng dán trắng răng do Pháp sản xuất thì không có loại nào giá 20 nghìn đồng/ miếng, mà thấp nhất cũng phải 120 nghìn đồng". Như vậy miếng dán 20 nghìn đồng chắc chắn là hàng dỏm, dán vào không khéo "răng đi đằng răng, lợi đi đằng lợi", chưa kể nếu nhận tiền xong, người bán đóng fakebook thì bóng chim tăm cá biết đâu mà tìm như đã từng xảy ra khi mua hàng trên mạng.
Nguy hại
Theo BS Khanh, tẩy trắng răng có những nguyên tắc của nó bởi lẽ cấu trúc lớp men răng rất vững chắc, rất khó bị tác động bởi những yếu tố bên ngoài. Nhưng một khi nó đã bị tác động, màu men răng đã thay đổi, các phân tử đổi màu răng đã bám vào được cấu trúc của men răng thì không dễ gì tẩy sạch. BS Khanh nói: "Tại các cơ sở nha khoa, nha sĩ hoặc bác sĩ Răng Hàm Mặt thường tẩy trắng răng bằng cách bôi lên men răng một lớp thuốc tẩy hydrogen peroxide nồng độ 10%, được cách ly giữa nướu và môi, sau đó chiếu đèn và tia laser nha khoa vào.
Dưới tác dụng của ánh sáng và tia laser plasma, các phân tử thuốc tẩy nồng độ thấp sẽ bị kích hoạt, dẫn đến tác động thay đổi cấu trúc của lớp biến màu bám vào men răng khiến nó "mềm" đi, dễ dàng làm sạch. Tuy nhiên, việc tẩy trắng có thể phải thực hiện nhiều lần tùy vào từng nguyên nhân, trong lúc nếu dùng miếng dán - cũng được quảng cáo là chỉ có 10% hydrogen peroxide - thì chắc chắn không thể nào làm trắng răng chỉ trong 3 hoặc 7 ngày, mà phải mất đến… 2 tháng với điều kiện dán liên tục".
![]() |
| Tẩy trắng răng tại các cơ sở nha khoa vẫn là biện pháp an toàn nhất. |
Để có thể "dán vào là trắng", miếng dán trắng răng nếu tự nó phát huy được tác dụng mà không cần đến các xúc tác như đèn laser plasma thì chất tẩy chứa trong nó phải có nồng độ rất lớn.
Bác sĩ Võ Thị Bích Liên, chủ phòng khám Nha khoa Bích Liên ở quận 11 cho biết: "Ngành Răng Hàm Mặt đã chứng minh rằng thuốc tẩy trắng nếu mang lại kết quả tốt trong một khoảng thời gian rất ngắn thì tác dụng phụ của nó cũng rất xấu vì nó vượt ngưỡng an toàn, đặc biệt là với nướu răng, lợi răng. Phòng khám của tôi đã từng điều trị cho hơn 10 bệnh nhân bị viêm nướu, viêm lợi, thậm chí lở loét nướu, tụt nướu vì sử dụng miếng dán trắng răng chứa hydrogen peroxide nồng độ lớn, hoặc môi sưng vù lên vì dị ứng với những chất có trong miếng dán. Chưa kể thuốc tẩy nồng độ lớn theo miệng đi vào đường tiêu hóa thì không rõ còn có những tác hại gì".
BS Khanh nói: "Miếng dán trắng răng đúng là dễ sử dụng vì mỗi ngày một lần, bạn chỉ cần dán nó vào răng rồi đợi khoảng 30 đến 60 phút. Nhưng nếu bạn muốn tẩy được màu ở phần sát chân răng thì dù muốn dù không, bạn vẫn phải dán đè lên các rìa nướu. Vấn đề là khi đó, nếu miếng dán chứa nồng độ chất tẩy trắng lớn hơn quy định thì nướu răng của bạn sẽ lâm vào cảnh "cháy thành vạ lây".
Theo một nghiên cứu của Hiệp hội Răng Hàm Mặt Anh quốc, tỉ lệ tác dụng phụ không mong muốn do sử dụng miếng dán trắng răng là 16%, trong đó đa số là bỏng rát nướu răng, sưng môi, một số khác viêm nướu, tụt lợi vì thực tế cho thấy không phải bất kỳ miếng dán trắng răng nào cũng vừa vặn với hàm răng của người sử dụng.
Nếu nó nhỏ quá, nó sẽ không phủ kín những vùng cần làm trắng; còn nếu nó lớn quá, chắc chắn nó sẽ phủ lên một phần nướu răng. Khi đó, phản ứng ôxy hóa của hydrogen peroxide sẽ khiến nướu răng có thể bị bỏng nếu sử dụng miếng dán dài ngày. Điều đáng nói là một khi nướu răng đã bị tổn hại thì rất khó hồi phục
Vì thế, nếu người dùng vẫn muốn chọn cho mình con đường ngắn nhất, nhanh nhất để có được hàm răng sáng trắng thì cần đọc kỹ những hướng dẫn, những chỉ định và chống chỉ định trên miếng dán trắng răng. Khi mua, nên chọn những sản phẩm của những hãng có uy tín đồng thời tham khảo ý kiến của nha sĩ hoặc bác sĩ chuyên khoa Răng Hàm Mặt để có thể xử lý kịp thời những tình huống xấu nếu nó xảy ra.
BS Khanh nói: "Nên nhớ rằng cơ địa của mỗi người mỗi khác nhau và tình trạng ố màu răng cũng khác nhau. Nếu men răng của bạn đã suy yếu hoặc mòn thì việc sử dụng miếng dán dài ngày có thể dẫn đến những bệnh lý về răng, làm giảm sức nhai, chưa kể bạn còn phải dùng loại kem đánh răng có chứa chất chống ê buốt, đôi khi suốt cả đời".
Vẫn theo BS Khanh, cách tốt nhất để có được hàm răng chắc, khỏe, trắng sáng thì cần phải giữ vệ sinh răng miệng ngay từ khi còn bé. Tránh ăn, uống những thứ quá nóng, không hút thuốc lá, thuốc lào, đi khám và chữa ngay khi răng xuất hiện những triệu chứng bất thường và chỉ dùng thuốc kháng sinh trị những bệnh răng miệng theo chỉ định của bác sĩ…



