Vỡ cơ hoành khiến đại tràng, dạ dày "chui" lên ngực lại ngỡ hậu COVID-19
Nam thanh niên 25 tuổi bị ho, tức ngực, nghĩ mình bị hậu COVID-19 nên tự điều trị, sau một thời gian không khỏi đi khám mới tá hoả phát hiện bị vỡ cơ hoành.
Ngày 12/9, Bệnh viện Bạch Mai thông tin về ca bệnh hy hữu: đại tràng, dạ dày "chui" lên ngực do bị vỡ cơ hoành tưởng nhầm hậu COVID-19.
Cách đây 5 tháng, bệnh nhân Đ.A.H (nam, SN 1997) bị mắc COVID-19 tự điều trị tại nhà. Tuy nhiên, sau khi khỏi bệnh, các triệu chứng ho và đau tức ngực vẫn tồn tại và có dấu hiệu nặng lên. Nghĩ mình bị hậu COVID-19 nên bệnh nhân vẫn tự điều trị tại nhà. Tuy nhiên, triệu chứng này ngày càng nặng, H đã đi khám chuyên khoa hô hấp tại Bệnh viện Bạch Mai.
Khai thác tiền sử của bệnh nhân, các bác sĩ được biết, cách đây hơn 1 năm bệnh nhân bị TNGT, đi xe máy tự ngã, bị đập ngực trái xuống đường. Sau tai nạn, H thấy đau tức ngực nhẹ, không khó thở nên không đi khám. Thời gian sau đó, H thấy cơ thể bình thường khi sinh hoạt lao động nhẹ, chỉ xuất hiện khó thở khi khuân vác các vật nặng.
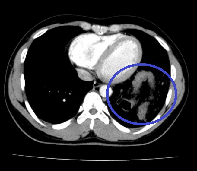
Các bác sĩ tiến hành nội soi ổ bụng cho bệnh nhân và phát hiện toàn bộ đại tràng ngang, lách, dạ dày và mạc nối lớn của bệnh nhân đã chui qua cơ hoành lên khoang màng phổi bên trái. Bệnh nhân được chẩn đoán thoát vị hoành trái do vỡ cơ hoành và có chỉ định phẫu thuật.
Sau ca phẫu thuật, bệnh nhân ổn định, hết đau ngực, khó thở, chụp phim X-quang kiểm tra thấy phổi nở tốt, không còn hình ảnh thoát vị. Hiện bệnh nhân đã bình phục và xuất viện.
BS Nguyễn Huy Du - Khoa Phẫu thuật Tiêu hóa - Gan Mật Tụy, Bệnh viện Bạch Mai cho biết: Thoát vị hoành do chấn thương là tình trạng một hoặc nhiều tạng nằm trong ổ bụng bị kéo lên ngực thông qua vết rách cơ hoành. Cơ hoành bình thường là vách ngăn kín giữa lồng ngực và ổ bụng, có thể bị rách vỡ khi bị những chấn thương làm tăng áp lực đột ngột trong ổ bụng. Những trường hợp này chiếm khoảng 8% các trường hợp chấn thương nặng và phổ biến nhất ở nam thanh niên trong các vụ TNGT.
Có khoảng 15% trường hợp bị vỡ cơ hoành chẩn đoán muộn do tổn thương không dẫn đến thoát vị ngay lập tức. Có thể tìm thấy dạ dày, mạc nối, ruột non, đại tràng, lách và thậm chí cả thận trong thoát vị hoành do chấn thương.
BS Du cho hay, khó thở là triệu chứng hay gặp nhất trong thoát vị hoành, nhưng cũng rất mơ hồ. Khó thở có thể xuất hiện từng cơn, không rõ hoàn cảnh khởi phát và tự thuyên giảm hoặc có khi liên quan đến bữa ăn, khi nằm. Đây là triệu chứng hay gặp trong các trường hợp nhẹ, tiến triển từ từ. Đối với trường hợp chấn thương cơ hoành nặng, lỗ thoát vị lớn có thể gây khó thở dữ dội, thậm chí tử vong.

Hy hữu, cứu người phụ nữ chửa ngoài tử cung ở đại tràng
Hy hữu: Súc miệng, răng giả rơi vào phế quản