Khuyến cáo từ những tai nạn hi hữu và liên quan đến pháo tự chế
Ngày 31/12, ThS.BS Nguyễn Ngọc Pi Doanh, Khoa Ngoại Thần kinh, Bệnh viện Nhi Đồng 2 (TP Hồ Chí Minh) cho biết, sau 10 ngày phẫu thuật cấp cứu và tích cực điều trị, hiện bệnh nhi 6 tuổi đang hồi phục, mở mắt và cử động tay chân tự nhiên.
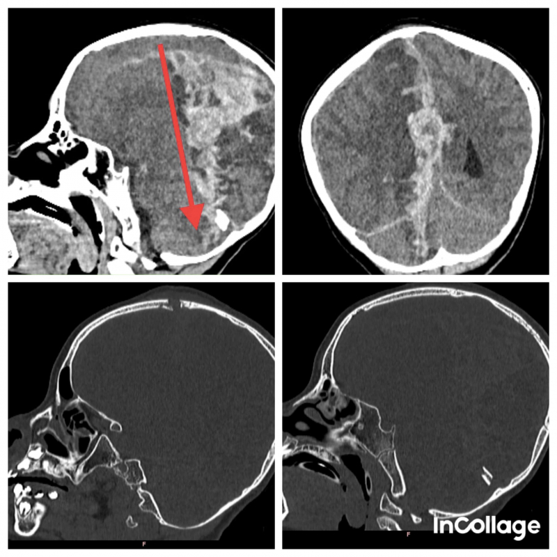
Bé B.T.Y.N. (SN 2017, ngụ tại Bình Phước) được bệnh viện tuyến dưới chuyển đến Bệnh viện Nhi Đồng 2 trong tình trạng hôn mê sâu, có vết thương trước đỉnh đầu đã được khâu. Kết quả CT-Scan ghi nhận tổn thương xuyên thấu qua não từ phía trước đỉnh đầu xuyên ra đến phần tiểu não phía sau, gây xuất huyết dưới màng cứng và trong não lượng nhiều, chèn ép và phù não.
Sau khi tiếp nhận bé, đội ngũ y bác sĩ Bệnh viện Nhi Đồng 2 đã nhanh chóng thực hiện phẫu thuật khẩn cấp để lấy máu tụ và mở sọ giải áp.
Bé được chăm sóc sau mổ tại Khoa Hồi sức tích cực và chống độc. Đến nay bé đã mở mắt, cử động tay chân tự nhiên và được chuyển về khoa Ngoại Thần kinh theo dõi tiếp.
“Mặc dù có dấu hiệu phục hồi tốt nhưng chắc chắn sẽ có di chứng về thần kinh do não đã tổn thương nặng, bé chưa nói được và còn yếu ½ người trái”, BS Nguyễn Ngọc Pi Doanh thông tin thêm.
Theo thông tin từ người nhà bệnh nhi, do đang giờ làm việc, anh B.M.V., ba của bệnh nhi không có mặt tại hiện trường. Anh V. được mọi người kể lại rằng, bé N. có đứng phía trước nhà xem các anh chị đánh cầu lông. Bất ngờ phần thân vợt rời khỏi tay cầm, bay vút lên và rơi xuống đầu bé…
Đây là tai nạn sinh hoạt hi hữu nhưng vô cùng nguy hiểm. Bệnh viện khuyến cáo phụ huynh cần cảnh giác trước các vật dụng có thể khiến trẻ dễ bị thương. Đối với vợt cầu lông như trường hợp này, người nhà nên kiểm tra lại dụng cụ trước khi sử dụng để phòng tránh sự cố tương tự.
Liên quan đến tai nạn của trẻ, Khoa Bỏng - Chỉnh trực Bệnh viện Nhi Đồng 2 hiện cũng đang tích cực điều trị các vết thương ở vùng mặt, bàn tay phải… cho nam bệnh nhi T. (SN 2009, ngụ Gia Lai) vì chế tạo pháo tại nhà.
Theo lời người nhà, do đang ở tuổi khám phá, tò mò nên T. có tham khảo thông tin chế tạo pháo trên mạng. Sau đó, em đã đặt mua hóa chất rồi thực hành theo. Sự việc chỉ được phát hiện khi cả nhà nghe tiếng nổ lớn, T. được đưa vào cơ sở y tế gần nhà sơ cứu rồi chuyển tới Bệnh viện Nhi Đồng 2 tiếp tục điều trị. Tại đây, bác sĩ ghi nhận T. dập nát bàn tay phải, bỏng vùng mặt, mắt và bộ phận sinh dục.
Bác sĩ Đinh Gia Khánh, Khoa Bỏng - Chỉnh trực cho biết, ngay khi nhập viện, T. được phẫu thuật cấp cứu, cắt lọc, khâu vết thương và điều trị bỏng. Các y bác sĩ đã khẩn trương điều trị để giảm thiểu thương tổn do pháo nổ gây ra.
Ngoài bệnh nhi T., khoa cũng đang điều trị cho một bệnh nhi (SN 2011) cũng là nạn nhân do tự chế tạo pháo.

Báo động tình trạng tai nạn thương tích do nổ pháo tự chế
Dập nát bàn tay do pháo tự chế phát nổ
Liên tiếp nhiều vụ trẻ bị tai nạn nhập viện do người lớn bất cẩn