Cắt cỏ, không may bị dây thép đâm xuyên tim
Chiều 4/5, BSCK2 Phạm Thanh Phong, Phó Giám đốc Bệnh viện đa khoa Trung ương Cần Thơ (BVĐKTƯCT) cho biết, các BS của BV cứu sống nam bệnh nhân bị dây thép đâm thủng tim trong lúc sử dụng máy cắt cỏ.
Nam bệnh nhân H.V.B (SN 1987, ngụ Cần Thơ) đang làm việc ở TP Phú Quốc (Kiên Giang) được đưa đến BVĐKTƯCT cấp cứu tối 2/5 với vết thương 1/4 trên bụng phải kích thước 2x5cm. Trước đó 1 ngày, bệnh nhân dùng máy cắt cỏ chẳng may cắt phải dây thép gai bắn xuyên bụng.
Sau đó bệnh nhân thấy đau nhẹ, không nghiêm trọng, ít chảy máu nên không đi khám. 12 giờ sau, bệnh nhân mệt, khó thở, đau nhói ngực ngày càng nhiều nên đến bệnh viện địa phương khám và nhanh chóng được chuyển viện đến BVĐKTƯCT.
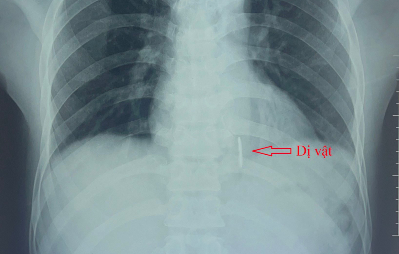
Kết quả X-quang tim, phổi thẳng; siêu âm tim màu; chụp cắt lớp vi tính lồng ngực... ghi nhận 1 dị vật cản quang dài 4cm đường kính 0,4cm nằm dọc thành sau thất trái thông vào buồng tim. Bệnh nhân được chỉ định phẫu thuật cấp cứu.
Ê kíp phẫu thuật tiến hành mở màng ngoài tim thấy ít máu loãng, máu cục, có nhiều giả mạc dọc bờ tim phải và mặt sau tim. Thám sát thấy cơ hoành có vết thương nhỏ đã bít lại; thành sau thất trái bầm dập 3x3cm có giả mạc, trên thành cơ tim có vết thương nhỏ.
Các bác sĩ sờ trên bề mặt thành sau thất trái thấy dị vật, tiến hành gắp dị vật là một đoạn dây thép dài 4cm máu phun thành tia.
Chiều 4/5, bệnh nhân tỉnh, dấu hiệu sinh tồn ổn định, vết mổ khô, được theo dõi, điều trị tại khoa Ngoại lồng ngực mạch máu.

Cứu sống bệnh nhân bị bệnh tim, ngất liên tục