Lần đầu tiên can thiệp thành công nang giả tụy lớn mà không cần phẫu thuật
- Lần đầu tiên can thiệp ung thư gan di căn bằng nút động mạch hóa chất
- Hiểu đúng về ADHD để có cách can thiệp bệnh kịp thời
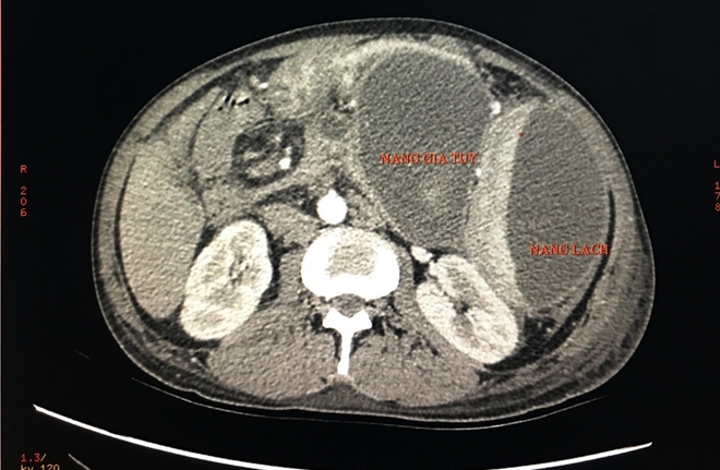
| Hình chụp lại từ hình ảnh CT bệnh nhân. |
| Ê kíp can thiệp nội soi dẫn lưu dịch. |
Ê kíp nội soi phát hiện khối to chèn ép toàn bộ thân vị phía bờ cong lớn. Các bác sĩ đã tiến hành chọc nang ở thân vị giữa và đặt 1 stent pigtails, nhiều dịch đen chảy ra. Sau dẫn lưu 30 phút bệnh nhân tỉnh, dạ dày ra 500ml dịch đen, bệnh nhân khỏe nhiều, hết khó thở, bụng mềm.
| Hiện bệnh nhân đã hồi phục. |
Nang giả tụy là một biến chứng muộn của viêm tụy cấp, viêm tụy mạn và chấn thương tụy. Thể hiện bằng sự tụ dịch bất thường ở vùng quanh tụy với một vách được tạo bởi mô xơ viêm mạn. Trước đây, phẫu thuật bóc tách nang hay mở thông nang ruột là phương pháp chủ yếu để điều trị. Tuy nhiên điều trị phẫu thuật, bệnh nhân phải chịu một cuộc phẫu thuật lớn, tỷ lệ tử vong và biến chứng còn tương đối cao.
Hiện nay dẫn lưu nang giả tụy bằng stent đặt xuyên thành dạ dày và tá tràng qua nội soi được xem như một thủ thuật hiệu quả và an toàn hơn. Đây là trường hợp đầu tại ĐBSCL sử dụng phương pháp nội soi tiêu hóa can thiệp thành công trong điều trị nang giả tụy.
Theo Bác sĩ CK2 Bồ Kim Phương, Trưởng Khoa Nội tiêu hóa Bệnh viện Đa khoa Trung ương Cần Thơ, khoảng 70-85% những trường hợp viêm tụy cấp thường liên quan đến bia, rượu. Để hạn chế nguy cơ bệnh viêm tụy nên hạn chế uống rượu hoặc đã từng bị viêm tụy, thực hiện loại bỏ túi mật nếu sỏi mật đang gây viêm tụy.
Thực hiện chế độ ăn ít chất béo, không nên dùng nhiều ngũ tạng, lòng đỏ trứng, tăng cường đạm rau xanh, hoa quả, các thực phẩm giàu Vitamin C, B để hạn chế nguy cơ hình thành sỏi mật.
